ご予約・お問い合わせ0774-63-6353

〒610-0354 京都府京田辺市山手南2丁目2-3-201駐車場4台完備

矯正歯科

当院でおこなわれている治療

矯正歯科
Implant

矯正治療

矯正治療とは

矯正治療とは、歯並びや歯の位置を正しい位置に戻すための治療です。当院では、小児矯正も成人矯正も扱っております。
矯正専門医による詳しいカウンセリングを行い、納得した上で治療を受けて頂くことができます。
気になる方は、お気軽にご相談下さい。

矯正治療の手順

Step1初診

治療の概略をお話しいたします。

Step2精密検査

歯の型、写真、レントゲンで分析を行います。

Step3診断

こども(6~12歳)顎の成長治療、乳歯列期
大人(12歳以上) 装置を取り付けて約2~3年ほどで歯を動かします。(約1ヶ月に1回の装置調整があります。)
         *歯の色に近いセラミックブラケットや白いワイヤーを使用して目立ちにくい治療もできます。

Step4治療

治療方針の詳しいお話をいたします。

Step5メンテナンス

後戻りを防ぐための経過観察。(保定装置をつけて後戻りをふせぎます。)

矯正専門医が担当

当院の矯正は、矯正専門医が担当いたしますので、質の高い治療を受けていただけます。

矯正担当医:河野智子

注意事項

矯正治療は期間を必要とし、定期検診にお越しいただいたり、装置を正しく使うなど、患者様の協力が治療の結果を左右します。治療には時間と費用もかかりますので、わからないところは遠慮なくご質問して頂き、納得されてから治療を開始しましょう。

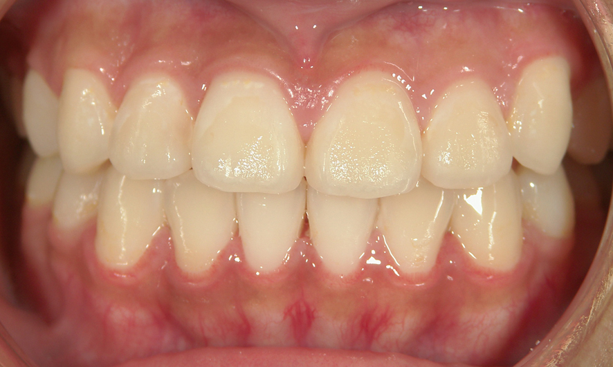
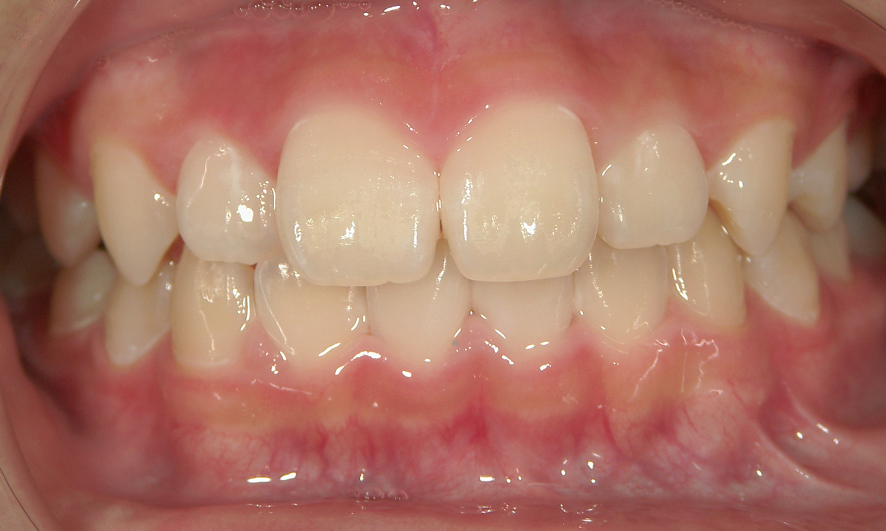
矯正治療の症例

大人の矯正

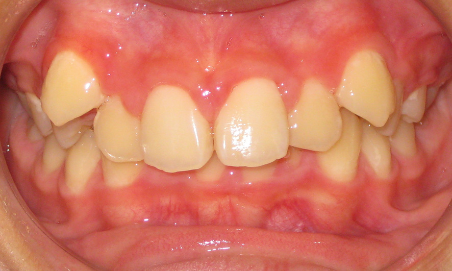
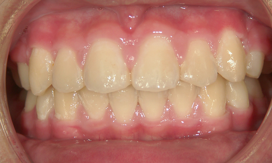
症例1

before
症例1before
after
症例1after
治療期間 約3年

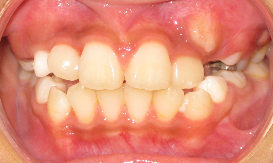
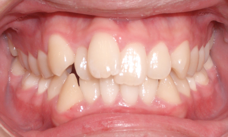
症例2

before
症例2before
after
症例2after
治療期間 約2年6ヶ月

小児矯正

症例1

before
症例3before
after
症例3after
治療期間 1期治療:2年8か月、
2期治療:3年10ヶ月

症例2

before
症例4before
after
症例4after
治療期間 1期治療のみ、3年11ヶ月
〒610-0354 京都府京田辺市山手南2丁目2-3-201

JR学研都市線 松井山手駅前

お車でお越しの場合

大阪から-枚方学研出口
京都から-八幡東出口

駐車場有

診療時間

診療時間

アクセス
access